Sometimes life surprises us in the most unexpected ways, like discovering that a loving mini Australian Shepherd your family raised for six years had virtually no brain at all. No kidding.
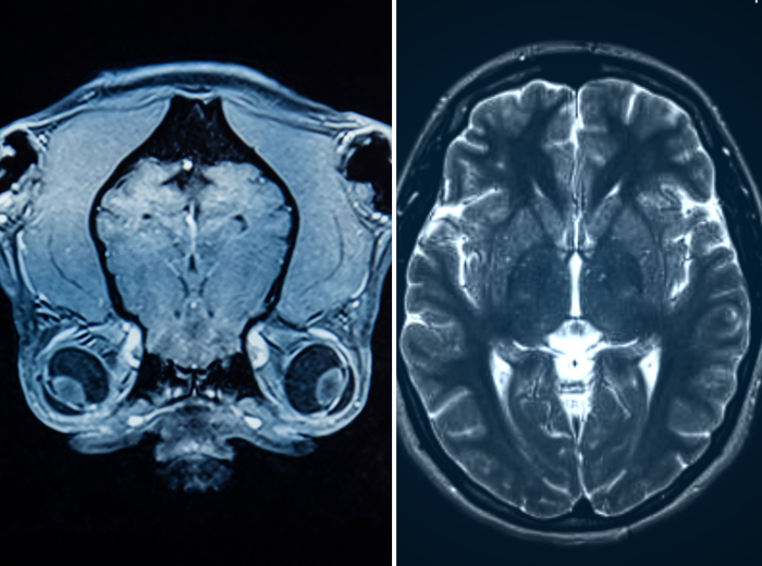
Her story went viral when her owner posted that after adopting her as a “normal” puppy and loving her through everyday dog life, including a litter of puppies, they later learned from an MRI scan that her brain cavity was filled with fluid and only about 5 % of her brain tissue was present.

Credit: via snooHabits6942
Key Takeaways
- Dogs can thrive even with extreme neurological differences, showing resilience and adaptability.
- Brain size isn’t the same as cognitive capacity, especially in domestic dogs shaped by thousands of years of human partnership.
- Scientific research continues to reveal that dog brains are specialized for social interaction and cooperation with humans.
- Comparing human and dog brains helps us appreciate both species’ strengths without ranking one above the other.
You might expect that would leave her unable to walk, play, learn, or be happy.
But that’s not what happened.
She lived a full, joyful, and loving life that captivated dog lovers online.
Her story reminds us that love, care, and connection matter far more than we often realize, whether in dogs or in ourselves.
The dog’s owner shared that she never suspected anything unusual through six happy years, until she had a seizure later in life. A vet visit led to an MRI scan, which shocked everyone: 95 % of her skull was filled with fluid, not brain tissue.
This condition, often related to congenital hydrocephalus in dogs, can sometimes severely impair development, but in her case, she compensated beautifully. Her instinctive behaviours, affection, playfulness, and ability to live comfortably with her family showed that the essence of what makes a dog “a dog” doesn’t always come down to brain volume.
Reddit commenters loved her spirit:
“She seemed like she lived a good life and I’m sure you loved her a lot.” echoes of appreciation for her joy, not her anatomy.
To really understand what makes dogs dogs, it helps to compare their brains to ours:
- Dogs’ brains are much smaller relative to body size than human brains, roughly a 1:125 brain-to-body mass ratio, compared with about 1:40 in humans.
- Their prefrontal cortex (involved in higher thinking) is much smaller, in dogs it occupies only about 10 % of the brain, vs nearly one-third in humans.
- Dogs aren’t little humans. Their cognition is organized differently, with instincts, social processing, and sensory prioritization often taking precedence over abstract reasoning.
- Humans have highly folded brains with vast surface area, giving us advanced capacities for planning, language, self-reflection, and abstract thought.
- Our brain structure supports cognitive skills that go well beyond what even the smartest dog can achieve.
The differences don’t mean one species is “better”, just adapted for different roles. Dogs have been shaped by thousands of years of close co-evolution with humans, leading to brain structures finely tuned for social interaction, empathy, and partnership with people.

Credit: iStock
Here are a few fascinating studies worth exploring:
Research published in Communications Psychology shows that domestication didn’t just change dogs’ bodies, it shaped their brains, especially in areas tied to social cognition and trainability.
A study in Biology Letters found that smaller-relative brain size in many breeds doesn’t necessarily mean less intelligence, some working breeds with smaller brains showed advanced trainability and learning skills.
CT scans comparing hundreds of recent dog breeds with wolves show domestication historically led to smaller brains overall, but modern dogs genetically farthest from wolves sometimes have relatively larger brains, possibly due to complex social demands of domesticated life with humans.
MRI assessments across dog breeds reveal that brain shape and size can reflect the role humans bred them for whether it’s herding, guarding, or companionship.
This dog’s story is more than a medical curiosity, it’s a reminder that:
- Brains don’t define worth. Love, personality, playfulness, and connection matter far more than anatomy.
- Nature is resilient. Even a dog with minimal brain tissue lived a long and joyful life because she had care, family, and purpose.
- Dogs think differently, not less. Their world is shaped by instinct, sensation, and social bonds, not just raw computation.
- Our bond with dogs teaches us compassion. They don’t judge us for how we think, only how we feel about each other.
As one dog lover put it online, “The eyes show the size of her spirit.”
That’s a beautiful way to look at it.
This story isn’t just about science, it’s about love and belonging. Whether a dog has a full brain or a fraction of one, what matters most is the heart, warmth, and connection shared between a pet and family.
For more stories that celebrate the remarkable, unexpected, and heart-expanding side of life, from pets to people, visit Simply Wholesome. We share uplifting, compassionate narratives that remind us what it means to live and love fully.Read more stories that make you feel connected, hopeful, and whole at Simply Wholesome.
Leave a comment